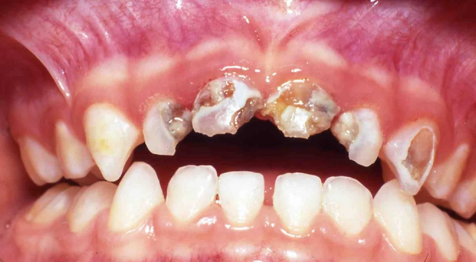
A Debate. Do we want all our 12 year old's chewing it 3x a day in the UK?
We will regularly update you here with relevant current information
You could also check out our Facebook page
Viewing entries in
Health Awareness
A Debate. Do we want all our 12 year old's chewing it 3x a day in the UK?
Shocking sugar content found in high street flavoured coffee's
‘I’m surprised I’ve got teeth!’
So when is the best time to consume these to prevent damage to your teeth?
Sugar series Pt 2- 'Good & Bad Carbs' A simple explanation.